La protesi estetica metal free al servizio delle persone. L’estetica della bocca genera benessere psicologico
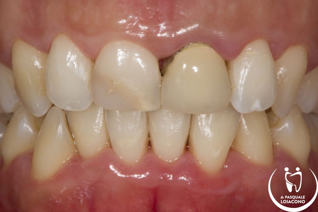
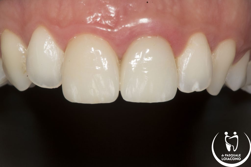
È oramai facile constatare come le richieste e le aspettative estetiche dei pazienti per quanto riguarda l’aspetto della propria dentatura siano sempre più elevate: quotidianamente aiutiamo i nostri pazienti a migliorare il proprio sorriso e il proprio aspetto, per aiutarli a sentirsi meglio in mondo sempre più “social”. Presentarsi con un sorriso smagliante e un aspetto accattivante rinforza l’immagine e contribuisce al successo personale. Infatti il sorriso è uno dei primi particolari che chi ci ascolta o dialoga con noi percepisce, e la sua bellezza può sicuramente rafforzare la nostra immagine e contribuire al nostro successo sociale perché ci rende più gradevoli. Ecco perché è importante poter mostrare un sorriso convincente. La moderna odontoiatria che quotidianamente mettiamo in pratica nel nostro studio ha quindi una caratteristica fondamentale: mette il sorriso del paziente al centro del nostro mondo, e tutti i nostri sforzi sono rivolti alla soddisfazione di questo impegno. Ma attenzione: un sorriso vero non è semplicemente un’apparenza di denti bianchi e allineati, ma piuttosto l’espressione della forza e della salute di tutte le componenti presenti nella bocca di una persona. Non può esistere vero sorriso senza vera salute di denti, gengive e ingranaggio dentale. I moderni materiali ci aiutano a trovare soluzioni personalizzate per l’esigenza di ogni persona. In particolare oggi abbiamo a disposizione i materiali protesici senza metallo, o “metal free”, che consentono di ottenere risultati fantastici e duraturi nel tempo, senza gli inconvenienti estetici o biologici legati alla presenza di metalli in bocca. Infatti i metalli oltre a problematiche estetiche possono dare luogo a fenomeni di elettro-galvanismo di cui non conosciamo appieno i possibili effetti negativi, ma che sicuramente non fa bene. Il nostro obiettivo è quello di ottenere eccellenza quotidiana, per offrire ai nostri pazienti non solo un sorriso smagliante, ma il benessere durevole e profondo che nasce dalla sinergia tra estetica e tecniche moderne. Utilizziamo quindi particolari ceramiche che uniscono all’elevatissima resa estetica anche un grandissimo grado di tolleranza biologica, ma non basta: oltre ai materiali giusti è importante utilizzare le giuste tecniche. Spesso assistiamo all’abuso dell’utilizzo delle corone, dette comunemente e impropriamente “capsule”; l’utilizzo di corone in presenza di una buona quantità di tessuto dentale sano residuo rappresenta una vera e propria mutilazione. Esistono da molto tempo tecniche minimamente invasive, che riducono cioè al minimo la quantità di tessuto dentale sano da rimuovere: per esempio intarsi e faccette. Le faccette estetiche in ceramica sono un perfetto modo di ridare estetica conservando tessuto dentale, essendo gusci sottilissimi di ceramica, spesse pochi decimi di millimetro, che vengono incollate direttamente sui denti da restaurare. Nelle due foto in esempio si può apprezzare un mio lavoro, nel quale ho ricostruito il sorriso di una giovane donna sostituendo una vecchia corona in metallo sull’incisivo centrale di sinistra con una nuova in ceramica integrale e armonizzando l’incisivo di destra con una faccetta dello stesso materiale della corona. La salute della gengiva e l’armonia del sorriso sono il premio più bello che potessi desideraretica metal free al servizio delle persone. L’estetica della bocca genera benessere psicologico.


