Il diritto a estetica e benessere: le nuove terapie in odontoiatria. La sinergia tra ortodonzia invisibile e digitale al servizio delle persone.
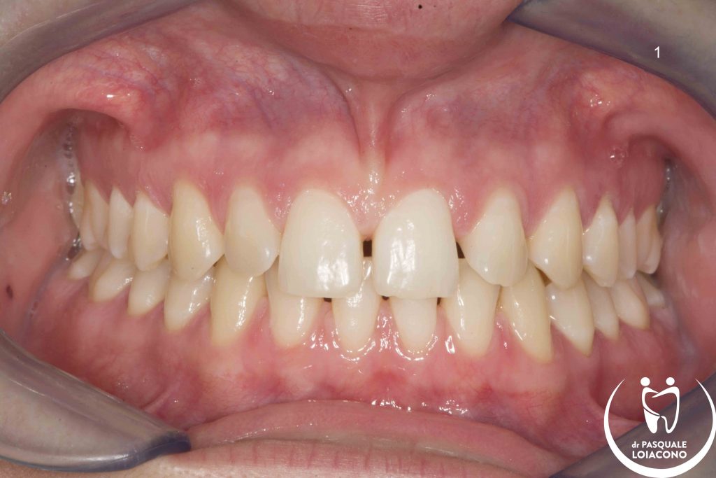
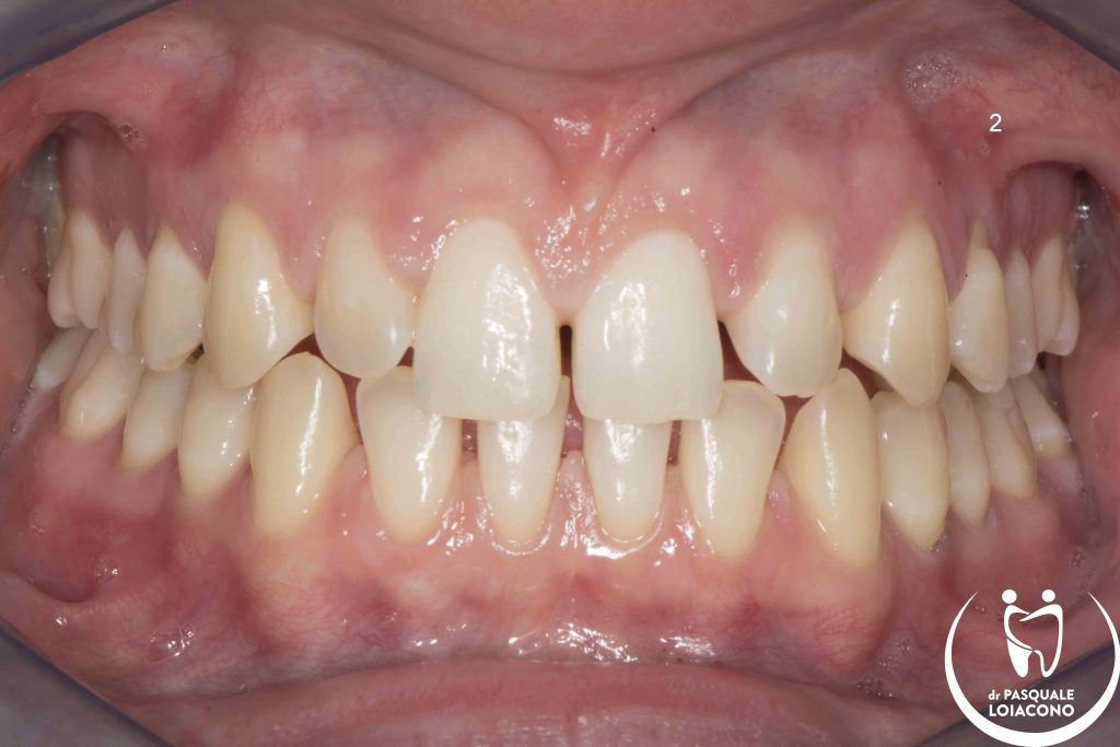
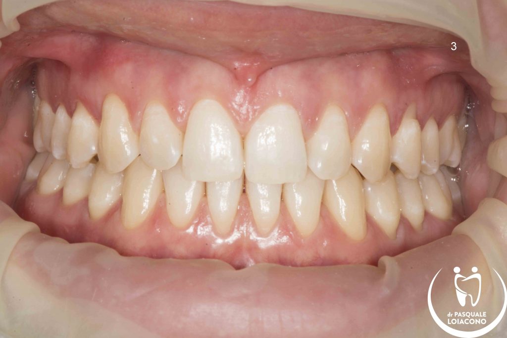
La medicina e la moderna odontoiatria offrono soluzioni innovative e potenti, impensabili sino a pochi anni fa, per coniugare estetica e salute. In particolare, l’innovazione che sta modificando in modo radicale l’odontoiatria è certamente la tecnologia digitale, che consente di realizzare terapie altrimenti impossibili. Concretamente ci riferiamo alla tecnica degli allineatori trasparenti, che permettono di effettuare trattamenti ortodontici, specie in pazienti adulti, senza tutti i limiti e le problematiche degli apparecchi metallici incollati ai denti. Il paziente potrà seguire la sua terapia ortodontica senza alcuna limitazione nella sua vita di relazione e con un’enorme comodità e facilità di pulizia rispetto alle terapie tradizionali. La tecnica degli allineatori invisibili è resa possibile da un flusso di lavoro quasi interamente digitale, che consente già dalla fase dell’impronta di lavorare con files digitali invece che materiali fisici. L’impronta ottica è una realtà eccezionale: possiamo ottenere in meno di un minuto, grazie a una telecamera precisissima, un modello tridimensionale della bocca del paziente. Questa procedura ha una serie di vantaggi: prima di tutto il confort del paziente che non dovrà tenere in bocca per diversi minuti un materiale comunque ingombrante e fastidioso. Il secondo grande vantaggio è che il modello digitale (foto modello digitale) potrà essere inviato nel giro di pochi secondi al laboratorio che eseguirà le lavorazioni; il terzo grande vantaggio è la precisione dei modelli tridimensionali stampati. Il laboratorio una volta ottenuto il modello digitale via internet potrà creare tramite stampanti 3D modelli analogici della bocca del paziente, sui quali si costruiranno gli allineatori che fisicamente andranno ad ottenere gli spostamenti. Come ogni innovazione, anche questa può avere degli aspetti negativi. Infatti pensare che una terapia si possa risolvere solo nell’applicazione di allineatori, senza avere eseguito una diagnosi approfondita e uno scrupoloso piano di cura, può avere conseguenze molto negative. Non dobbiamo dimenticare infatti che l’equilibrio della dentatura è fondamentale per il benessere della persona. Si possono avere denti apparentemente ben allineati, ma con squilibri della masticazione importanti, che incidono pesantemente sulla qualità di vita delle persone. L’approccio corretto è quello di correggere gli squilibri masticatori prima di effettuare la terapia con allineatori, e solo dopo finalizzare e completare la terapia con allineatori trasparenti. Nella foto si può esattamente apprezzare il flusso di lavoro descritto. La paziente di circa venti anni si è rivolta a noi per un problema gnatologico che provocava mal di testa quotidiano e scatti alla mandibola (foto 1) ; il problema consisteva nella deviazione della mandibola e nell’alterazione della funzione articolare. La terapia ha previsto una fase ortopedica di riallineamento della mandibola, con un apparecchio mobile notturno, che ha permesso di risolvere in circa un anno tutte le problematiche e i sintomi legati alla deviazione mandibolare (foto 2) . Al termine della fase ortopedica si è passati alla terapia con allineatori che in soli quattro mesi ha completato il trattamento con piena soddisfazione della paziente e dell’odontoiatra. (foto 3)




